Centro Odontoiatrico Polispecialistico
Centro Odontoiatrico Polispecialistico  

Il carico immediato

Oggi è possibile realizzare importanti riabilitazioni implantari in giornata.

Gli interventi di implantologia avanzata ci consentono di ricorrere al carico immediato. Il paziente può nello stesso giorno dell'intervento avere denti fissi.

Ogni caso clinico viene documentato con fotografie professionali e preventivamente studiato con tutta la documentazione radiografica come da corretto protocollo chirurgico.

 

il carico immediato è una procedura complessa che prevede un attento studio da parte di tutta la equipe odontoiatrica; il chirurgo, il protesista, il tecnico che realizza il lavoro e in fine l'Igienista dentale che attraverso i controlli programmati si preoccupa di verificare che le condizioni igieniche siano sempre corrette.

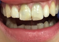
Riallineare i denti

 

Elementi in ceramica Integrale

Tutti i nostri servizi

 

Implantologia

Chirurgia

Pedodonzia

Ortognatodonzia

Conservativa

Endodonzia

Protesi

Gnatologia

Faccette dentali

Apparecchi per russamento

 

Telefono

+39 02 48201013

 

E-mail

info@iltuodentistamilano.it

 

Indirizzo Sede

 

Via Luigi Zoja,35

20153 MILANO

 

Avete anche la possibilità di contattarci compilando il modulo online

 

Orari e giorni di apertura :

Dal Lunedì al Venerdì

9.30/12.30  15.00/19.30

 

 

 

 

Consulenza

Contattaci per avere informazioni sulle novità terapeutiche e sui trattamenti più recenti.

Lo Studio

Stampa | Mappa del sito
© iltuodentistamilano Via Luigi Zoja 35 20153 MILANO Partita IVA: